Operatsiooniga pole kiiret, sest varbad moonduvad aeglaselt. Varbaoperatsioonid on näidustatud, kui muud abinõud enam ei aita ja elukvaliteet on tugevalt häiritud: jalad valutavad käimisel ja sobivaid jalatseid on raske leida.
Varbaoperatsioonidega saame vaevusi leevendada, aga mitte alati ei pruugi olla võimalik skalpelliga täiesti uut ja murevaba jalga meisterdada. Kõige olulisem operatsiooni edukuse määraja on realistlike ootustega patsient. Ortokliinikus anname tõepärase ülevaate, mida saab operatsiooniga saavutada ja kuidas kulgeb paranemine.
Kasutame võimalikult väikseid, samas piisava pikkusega nahalõikeid, et tagada operatsiooni kestev esteetiline ja funktsionaalne tulemus. Normaalse haavaparanemise korral muutuvad varbalõikuse nahaarmid vaevumärgatavaks. Teadusuuringutega on tõestatud, et varbaoperatsioonist taastumise kiirus ei sõltu nahalõike suurusest. Vajalike mõõtmetega operatsioonihaav aitab vältida komplikatsioone.
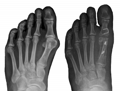
Enamuse operatsioonide eesmärgiks on pöialabaluude või varbaluude seadmine võimalikult normilähedasse asendisse. Saeme luu ettenähtud kohas läbi (tekitame luumurru) ja muudame luutükkide paiknevust. Kinnitame luutükid kaasaegsete väiksemõõduliste kruvide või klambritega õiges asendis. Kinnitusvahendid ei jää segama ning neid ei pea eemaldama. Kruvide ja klambrite kasutamine on vajalik, sest nii saame kindlustada luu kokkukasvamise parimal moel.
Varbaoperatsioonid on päevakirurgilised: saabute haiglasse ja lahkute sealt operatsioonipäeval. Operatsioonimeetodi valik sõltub haiguse iseloomust ja arsti eelistusest.


